Are we *really* facing a Gattaca future?
Babies can now be screened during IVF for traits controlled by multiple genes, potentially including intelligence. But, is this possible, or even useful?
A couple of weeks ago, I read on Astral Codex Ten about the (belated) first baby to be born following polygenic screening - or screening for traits caused by multiple genes.
Currently, when an older mum goes through IVF, they have the option of having DNA samples taken from their embryos to check they have the right number of chromosomes. Embryo quality declines with age and, for people with unexplained or age-related infertility, pre-implantation genetic screening (PGS) arguably increases the chance an embryo will grow into a baby.
People with a serious inherited disease, caused by a single gene, can go through IVF with a similar technology - pre-implantation genetic diagnosis (PGD) - to pick embryos without the harmful mutation.
With polygenic screening, it's possible to check for traits that are caused by multiple gene mutations, including some diseases, but - also - potentially to select for higher intelligence.
Although this isn't a current application of LifeView's technology, company co-founder Steve Hsu has talked publicly about screening for "smart" embryos within the next decade.

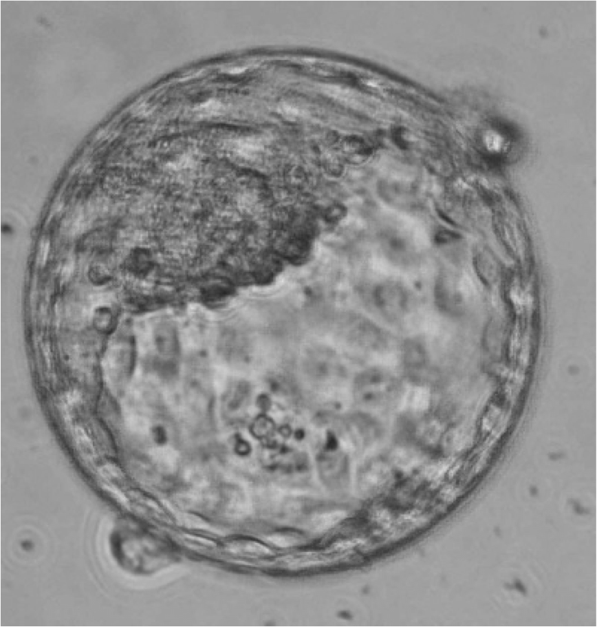
Embryo screening interests me for several reasons. First, and closest to my heart, the Red-Headed Reference Toddler is a PGS 'snow' baby. He was the single normal embryo from a batch of six 'frosties' (frozen embryos).
The Red-Headed Reference Toddler started 'life' as one of 12 eggs collected during a round of IVF in January 2015. Seven were 'mature', meaning they were able to be fertilised in the laboratory, and they all grew successfully for five days - until they reached the 100-cell stage. Six of the embryos, included the Red-Headed Reference Toddler, were deemed suitable for freezing. But, before that happened, five cells were removed from the outside of his embryo - the part that developed into his placenta.
For parents having PGD, each cell would have DNA extracted from the nucleus and checked for the single-gene mutation that causes disease. With the Red-Headed Reference Toddler, who underwent PGS, however, the IVF clinic were simply interested in whether he was likely to grow into a baby. So, they extracted DNA and physically counted his chromosomes. In his case, each of his five cells had their full complement of 46.
His five IVF 'siblings' had multiple missing or extra chromosomes in several or all of their sampled cells, and likely wouldn't have produced a baby. So, there was no real ethical issue about selecting them out. However, there's an interesting ethical issue about whether this technology constitutes a very early stage abortion. PGS technologies, for example, can detect a third copy of Chromosome 21 and, thus, you can use this technology to pre-select against Down's.
Embryo screening for viability or single-gene disorders is now relatively mature present-day technology. Selecting embryos for intelligence, health or personality is a popular science-fiction topic with broad social implications. As Sarah Philips mentions at the beginning of the BBC Documentary, who we allow to be born affects the society we live in. There have been a wide range of films and books written about embryo screening for desirable traits, of which the most famous is probably Gattaca.
In Gattaca, children are routinely conceived through genetic selection, and seen as 'valid'. 'In-valids', who are conceived outside the eugenics programme, and susceptible to genetic disorders, are allocated to menial jobs. Gattaca follows Vincent, who poses as a 'valid' in order to join an upcoming mission to Saturn's moon Titan.

Polygenic screening is unlikely to have the dramatic effects on society that Gattaca depicts. For starters, you need to have IVF to use genetic screening technologies, which means a lot of needles, drugs and clinic appointments. It's not exactly the most fun way to make a baby.
Moreover, genetic screening can only select from the embryos you produce. As with the Red-Headed Reference Toddler, it's possible to only produce one healthy embryo from an IVF cycle - at which point, regardless of its intelligence or sporting ability, you've only got that embryo to implant. Even in the best case scenario, you're likely to produce a single-figure number of viable 'sibs'.
In addition, any group of embryos only has a certain amount of genetic variation and that depends on the parents. Hence, the Red-Headed Reference Toddler is unlikely to be a world-class tennis player or a talented actor. Moreover, any - or all - of his traits are affected by environmental factors. I could have spent money selecting for half-a-point higher IQ, only for him to lose that point by being born at 38 weeks.

Unsurprisingly, at least one study has found that the real-world impact of polygenic screening is likely to be small. Research published in Cell in 2019 estimated that, with current technology, the likely gain in height from polygenic screening would be ~2.5cm and the likely gain in IQ ~2.5 points.
There are other potential problems too, with the current technology, which means it may not be worth spending money on. Among them is the possibility that the training population for the scoring may differ from the population at large. If you look at the output of polygenic screening risk assessments, they tend to involve percentage risks, which are - according to a New England Journal of Medicine Report I can't access - generated in a vast majority of cases from genetic research on a mainly-European population. Another issue, apparently, is whether selecting for one trait, such as educational attainment, may increase the risk of another, such as schizophrenia.

Of course, all of this becomes a lot scarier once you can create eggs and sperm from muscle, liver or blood cells - allowing fertility clinics to create large numbers of embryos that can be screened for desirable traits. In this Big Think article from 2016, Henry T Greely, a biomedical ethicist from Stanford University in the USA, predicts an end to sexual activity as a means of human reproduction. Instead, he predicts, in as little as 20 to 40 years in the Global North, couples - same or opposite sex - will go to a fertility clinic to have genetic samples taken. The resulting sperm and eggs will undergo screening and the best performer will be returned to the womb for development.
Some science fiction authors have gone even further. In Anne Charnock's Dreams Before the Start of Time, artificial wombs have become the preferred method for gestation. My novella, A Long Dark Goodnight, features an artificial womb as a minor story component, and my New Alesund/Kokopelli setting has 'hatcheries' as the default for family creation.
In the future, of course, we'll also be able to modify human embryos directly. In fact, that technology is already here. In 2019, He Jiankui, a Chinese biophysics researcher, caused global outrage when he announced that he'd modified the embryos of twin girls to make them resistant to HIV infection. This was the first known example of genetically-modifying humans in a way that would affect their descendants.
The technology Jiankui used was something called CRISPR/Cas9, which is a cheap and easy method of editing DNA. CRISPR/Cas9 can be injected into cells where it acts like a combination of a homing missile, molecular scissors, and a genetic pencil, allowing for the deletion, editing or insertion of new DNA.
Unfortunately, today's CRISPR/Cas9 technology simply isn't good enough to safely and accurately edit the genome of human embryos. For this reason, Jiankui shouldn't have used the technology on the twin girls - and his work caused anger, disgust and outrage among the scientific community.
Jiankui was sentenced to three years in jail, but the 'genetic engineering of humans' is unlikely to be easy to put back into the box. With crops, animals and bacteria already engineered for socially-useful tasks, such as producing insulin for diabetics, it's not a huge leap to imagine - for example - people modified for specific jobs.

There is a lot of science fiction about genetically-modified people. One of the most powerful is Paolo Bacigalupi's People of Sand and Slag, about humans modified to work on a polluted future Earth. The characters, a group of security officers, are so heavily modified that they're unable to understand the 'purpose' of a 21st-century-standard dog or - more importantly - how to care for it.
The Windup Girl, by the same author, features a bioengineered artificial woman called Emiko. She is a devastatingly vulnerable - better than baseline humans in some ways, but prone to overheating, and given a 'stutter-stop' step to make her easily distinguishable. I found Windup Girl, personally, impossible to finish due to the negative depiction of Thailand and gratuitious sexualised violence, but it's a creative and imaginative read.
The interesting part of science fiction stories about bioengineered humans is the societies they depict. Genetic modification is just a tool and, whether wielded by individuals or corporations, people will use it to meet societal goals. Whether they use it to strive for some concept of 'perfection' or some (even) darker, twisted purpose, is going to depend on the social setting.
There are benign/positive uses of genetic engineering, such as curing inherited genetic diseases like Huntington's Disease, but eradicating other genetic disorders raises ethical questions. Autism, for example, is highly heritable. I have an autistic older son and wouldn't wish him to have been pre-natally 'cured' (treating autism in adults is the topic of Elizabeth Moon's sci-fi novel The Speed of Dark).
It's not even clear whether eradicating autism at the genetic level would be socially beneficial. As autistic scientist and animal behaviouralist Temple Grandin put it:
the really social people did not invent the first stone spear. It was probably invented by an Aspie who chipped away at rocks while the other people socialized around the campfire. Without autism traits we might still be living in caves
I haven't read it for a long time, but I recall that C. S. Friedman's This Alien Shore explores this idea in some detail. While humanity has largely eradicated mental illness and neurological disorders, the Guerans are an incredibly-successful human society consisting entirely of people with these conditions. If I remember correctly, they wear a pattern of facemarks, called Kaja, which allow for communication between different neurodiverse groups.

Many of the sci-fi stories I've mentioned are dystopias, but others provide a more positive depiction of genetic modification. The most well-known, of course, is The Culture novels by Iain M. Banks where genetic engineering and cybernetics mean humans are usually beautiful, intelligent and happy, with the ability to change appearance at will, trivially alter their sex and potentially live forever.
Whether we get a positive future, or a more dystopic one, is up to us as a society. Technology, after all, is merely a tool...
Things I've been reading/watching

I bought Carrie Vaughn's Questland after reading an interview on Transfer Orbit (if you've not subscribed already, I'd recommend doing so). Like Ready Player One, it's a sci-fi novel riffing off geek culture. In this case, roleplaying games and historical renactment.
In Questland, Dr Addie Cox is drafted onto a team of mercenaries sent to a Dungeons & Dragons-inspired themepark on a deserted island. It's her job to find out why the tech geeks developing the theme park, including her ex-boyfriend, had gone rogue.
It was a light, entertaining read, but the intended audience seemed to be more embedded in 'geek' culture than me. I personally couldn't relate to Addie. She seemed to be very interested in living in a faux medieval European fantasy world and spent most of the story being scared of stuff... which was realistic, but not what I personally wanted to read.
However, if you're into LARPing and European/American-inspired SCA stuff, or know someone who is, this may be your/their perfect book 🥰

I can't say anything about The Tomorrow War than hasn't been said better elsewhere. It was sufficiently entertaining to watch right through, but extremely generic and the plot didn't make any sense.
The Tomorrow War Pitch Meeting sums it up pretty well (and is more fun to watch than the film itself).
NB: Tomorrow War 2 is reportedly already in development (why Netflix, why?!)
And, finally...
I'll leave you with an AI voice actor who sounds like the real thing.